ผลิตภัณฑ์
ราคาดี  ออนไลน์

รายละเอียดสินค้า

Created with Pixso. บ้าน Created with Pixso. ผลิตภัณฑ์ Created with Pixso.
สวยงามทางชีวภาพแบบฟัน
Created with Pixso. การศึกษากรณีมงกุฎฟันซิกโคนยา ภายนอกห้องปฏิบัติการทั่วโลก - โจไดเทนตาแลบ

การศึกษากรณีมงกุฎฟันซิกโคนยา ภายนอกห้องปฏิบัติการทั่วโลก - โจไดเทนตาแลบ

ชื่อแบรนด์: Joydenta
ขั้นต่ำ: ยืดหยุ่นได้
ระยะเวลาการจัดส่ง: 4 วันทำการ
เงื่อนไขการจ่ายเงิน: ที/ที เพย์พาล
ข้อมูลรายละเอียด
เว็บไซต์ใหม่:
www.joydenta-lab.com
เว็บไซต์ใหม่:
https://joydenta-lab.com/en/
รายละเอียดการบรรจุ:
ห่อบับเบิ้ลพร้อมกล่อง
สามารถในการผลิต:
500 เคส/วัน
เน้น:

ฟันเทียมสีซิกอร์โคนีที่มีลักษณะธรรมชาติ

,

ฟันปลอมเซอร์โคเนีย

,

ฟันปลอมเซอร์โคเนียสำหรับทดแทนฟัน

คําอธิบายสินค้า

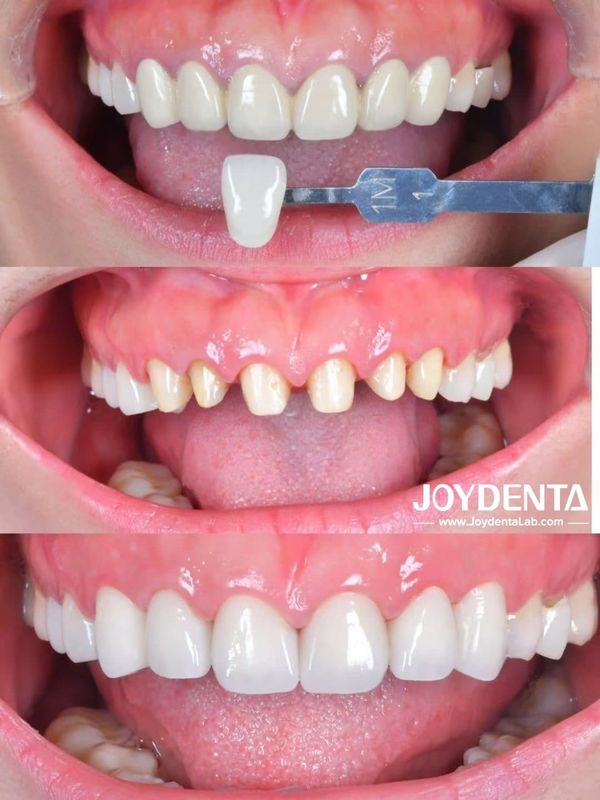
การศึกษากรณี Zirconia Dental Crown ราคาดีที่สุดในโลกโดย Joydentalab

กรณีทางคลินิกนี้ เป็นการฟื้นฟูทางสอง สําหรับผู้ป่วย ที่ได้รับมงคลโลหะ-เซรามิก หลายปีที่ผ่านมาและการแก้ไขที่พัฒนาทางด้านความสวยงามคลินิกทันตแพทย์เลือกรางวัลฟันสีซิกอร์โคนีระบบที่ผลิตโดยJOY ห้องปฏิบัติการทันตแพทย์และผลลัพธ์คือการก้าวหน้าอย่างชัดเจน ในทั้งความแม่นยําและผลประกอบความสวยงาม

อย่างที่แสดงในรูปภาพ ความแตกต่างระหว่างเทียมเก่าและการซ่อมแซมซิกอร์คอนิโอใหม่มีความสําคัญรางวัลฟันสีซิกอร์โคนีส่ง:

  • ความแม่นยําและความโปร่งใสของสีที่ดีขึ้น

  • รูปทรงทางร่างกายที่ละเอียด ที่เข้ากับฟันธรรมชาติของผู้ป่วย

  • ความแข็งแรงและความมั่นคงระยะยาวที่ดีกว่า

  • วัสดุที่เข้ากันได้ทางชีวภาพ เหมาะสําหรับผู้ป่วยที่รู้สึกอ่อนแอ

คลินิกทันตแพทย์และผู้ป่วยทั้งสองแสดงความพึงพอใจกับผลสุดท้าย การฟื้นฟูแสดงให้เห็นว่าเป็นธรรมชาติและเป็นจริงมากเสริมความเชื่อมั่นว่าทําไมซิรคอนิโอจึงยังคงเป็นหนึ่งในวัสดุที่เชื่อถือได้มากที่สุด ในการฟันปรับปรุงฟันที่ทันสมัย.


เหตุ ผล ที่ ห้อง ห้อง หนัง ฟัน ทั่ว โลก เลือก ห้อง หนัง ฟัน JOY สําหรับ การ ปรับปรุง ซิรโคเนีย

ในฐานะห้องปฏิบัติการทันตแพทย์ระดับพรีเมี่ยมมีความเชี่ยวชาญในด้านการจัดหาธุรกิจภายนอกระหว่างประเทศJOY ห้องปฏิบัติการทันตแพทย์สนับสนุนห้องปฏิบัติการทันตกรรมทั่วประเทศสหรัฐอเมริกา ออสเตรเลีย และสหราชอาณาจักรด้วยสารละลายซิกอร์คอนียะความแม่นยําสูง

ข้อดีของเราคือ:

  • ความสอดคล้องในการออกแบบดิจิตอล ผ่านการทํางาน CAD/CAM ที่ก้าวหน้า

  • วัสดุซิกอร์โคเนียหลายชั้นความแข็งแรงสูง

  • ระยะเวลาในการตอบสนองที่มั่นคงสําหรับลูกค้าทั่วโลก

  • การควบคุมคุณภาพอย่างเข้มงวด เพื่อให้เกิดผลลัพธ์ที่คาดเดาได้

  • การสื่อสารทางอาชีพสําหรับการร่วมมือในห้องปฏิบัติการระยะไกล

ไม่ว่าคุณต้องการกระเป๋าสะพานยูนิตเดียว สะพานซิกอร์คอนิยมลอยเต็ม หรือการฟื้นฟูที่สนับสนุนด้วยการปลูกฝัง เราให้การสนับสนุนการผลิตที่น่าเชื่อถือ


พาร์ทเนอร์กับห้องปฏิบัติการ Outsourcing ทั่วโลกที่เชื่อถือได้

หากคลินิกหรือห้องปฏิบัติการของคุณ กําลังมองหาคู่หูที่น่าเชื่อถือรางวัลฟันสีซิกอร์โคนีการผลิตJOY ห้องปฏิบัติการทันตแพทย์ ส่งผลิตความแม่นยํา ความสวยงามธรรมชาติ และบริการระดับนานาชาติที่ดีที่สุด

เรายินดีต้อนรับห้องปฏิบัติการทันตแพทย์ทั่วโลก เพื่อร่วมมือ และยกระดับผลการฟื้นฟูของพวกเขา

สินค้าที่เกี่ยวข้อง
เทคโนโลยีคลื่นหลายชั้น วิดีโอ
หา ราคา ที่ ดี ที่สุด
ราคาดี  ออนไลน์

รายละเอียดสินค้า

Created with Pixso. บ้าน Created with Pixso. ผลิตภัณฑ์ Created with Pixso.
สวยงามทางชีวภาพแบบฟัน
Created with Pixso. การศึกษากรณีมงกุฎฟันซิกโคนยา ภายนอกห้องปฏิบัติการทั่วโลก - โจไดเทนตาแลบ

การศึกษากรณีมงกุฎฟันซิกโคนยา ภายนอกห้องปฏิบัติการทั่วโลก - โจไดเทนตาแลบ

ชื่อแบรนด์: Joydenta
ขั้นต่ำ: ยืดหยุ่นได้
รายละเอียดการบรรจุ: ห่อบับเบิ้ลพร้อมกล่อง
เงื่อนไขการจ่ายเงิน: ที/ที เพย์พาล
ข้อมูลรายละเอียด
ชื่อแบรนด์:
Joydenta
เว็บไซต์ใหม่:
www.joydenta-lab.com
เว็บไซต์ใหม่:
https://joydenta-lab.com/en/
จำนวนสั่งซื้อขั้นต่ำ:
ยืดหยุ่นได้
รายละเอียดการบรรจุ:
ห่อบับเบิ้ลพร้อมกล่อง
เวลาการส่งมอบ:
4 วันทำการ
เงื่อนไขการชำระเงิน:
ที/ที เพย์พาล
สามารถในการผลิต:
500 เคส/วัน
เน้น:

ฟันเทียมสีซิกอร์โคนีที่มีลักษณะธรรมชาติ

,

ฟันปลอมเซอร์โคเนีย

,

ฟันปลอมเซอร์โคเนียสำหรับทดแทนฟัน

คําอธิบายสินค้า

การศึกษากรณี Zirconia Dental Crown ราคาดีที่สุดในโลกโดย Joydentalab

กรณีทางคลินิกนี้ เป็นการฟื้นฟูทางสอง สําหรับผู้ป่วย ที่ได้รับมงคลโลหะ-เซรามิก หลายปีที่ผ่านมาและการแก้ไขที่พัฒนาทางด้านความสวยงามคลินิกทันตแพทย์เลือกรางวัลฟันสีซิกอร์โคนีระบบที่ผลิตโดยJOY ห้องปฏิบัติการทันตแพทย์และผลลัพธ์คือการก้าวหน้าอย่างชัดเจน ในทั้งความแม่นยําและผลประกอบความสวยงาม

อย่างที่แสดงในรูปภาพ ความแตกต่างระหว่างเทียมเก่าและการซ่อมแซมซิกอร์คอนิโอใหม่มีความสําคัญรางวัลฟันสีซิกอร์โคนีส่ง:

  • ความแม่นยําและความโปร่งใสของสีที่ดีขึ้น

  • รูปทรงทางร่างกายที่ละเอียด ที่เข้ากับฟันธรรมชาติของผู้ป่วย

  • ความแข็งแรงและความมั่นคงระยะยาวที่ดีกว่า

  • วัสดุที่เข้ากันได้ทางชีวภาพ เหมาะสําหรับผู้ป่วยที่รู้สึกอ่อนแอ

คลินิกทันตแพทย์และผู้ป่วยทั้งสองแสดงความพึงพอใจกับผลสุดท้าย การฟื้นฟูแสดงให้เห็นว่าเป็นธรรมชาติและเป็นจริงมากเสริมความเชื่อมั่นว่าทําไมซิรคอนิโอจึงยังคงเป็นหนึ่งในวัสดุที่เชื่อถือได้มากที่สุด ในการฟันปรับปรุงฟันที่ทันสมัย.


เหตุ ผล ที่ ห้อง ห้อง หนัง ฟัน ทั่ว โลก เลือก ห้อง หนัง ฟัน JOY สําหรับ การ ปรับปรุง ซิรโคเนีย

ในฐานะห้องปฏิบัติการทันตแพทย์ระดับพรีเมี่ยมมีความเชี่ยวชาญในด้านการจัดหาธุรกิจภายนอกระหว่างประเทศJOY ห้องปฏิบัติการทันตแพทย์สนับสนุนห้องปฏิบัติการทันตกรรมทั่วประเทศสหรัฐอเมริกา ออสเตรเลีย และสหราชอาณาจักรด้วยสารละลายซิกอร์คอนียะความแม่นยําสูง

ข้อดีของเราคือ:

  • ความสอดคล้องในการออกแบบดิจิตอล ผ่านการทํางาน CAD/CAM ที่ก้าวหน้า

  • วัสดุซิกอร์โคเนียหลายชั้นความแข็งแรงสูง

  • ระยะเวลาในการตอบสนองที่มั่นคงสําหรับลูกค้าทั่วโลก

  • การควบคุมคุณภาพอย่างเข้มงวด เพื่อให้เกิดผลลัพธ์ที่คาดเดาได้

  • การสื่อสารทางอาชีพสําหรับการร่วมมือในห้องปฏิบัติการระยะไกล

ไม่ว่าคุณต้องการกระเป๋าสะพานยูนิตเดียว สะพานซิกอร์คอนิยมลอยเต็ม หรือการฟื้นฟูที่สนับสนุนด้วยการปลูกฝัง เราให้การสนับสนุนการผลิตที่น่าเชื่อถือ


พาร์ทเนอร์กับห้องปฏิบัติการ Outsourcing ทั่วโลกที่เชื่อถือได้

หากคลินิกหรือห้องปฏิบัติการของคุณ กําลังมองหาคู่หูที่น่าเชื่อถือรางวัลฟันสีซิกอร์โคนีการผลิตJOY ห้องปฏิบัติการทันตแพทย์ ส่งผลิตความแม่นยํา ความสวยงามธรรมชาติ และบริการระดับนานาชาติที่ดีที่สุด

เรายินดีต้อนรับห้องปฏิบัติการทันตแพทย์ทั่วโลก เพื่อร่วมมือ และยกระดับผลการฟื้นฟูของพวกเขา

สินค้าที่เกี่ยวข้อง
เทคโนโลยีคลื่นหลายชั้น วิดีโอ
หา ราคา ที่ ดี ที่สุด