 
            | ชื่อแบรนด์: | Joydenta | 
| ขั้นต่ำ: | ยืดหยุ่นได้ | 
| ระยะเวลาการจัดส่ง: | 4 วันทำการ | 
| เงื่อนไขการจ่ายเงิน: | ที/ที เพย์พาล | 
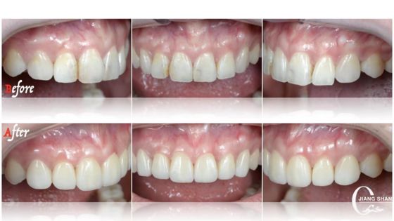
ที่ห้องปฏิบัติการทันตแพทย์ของเรา เราภูมิใจในการผลิต ผ้าผนังสวยงาม ที่เป็นพิเศษ ที่เข้ากันได้ดีกับฟันธรรมชาติความร่วมมือล่าสุดของเรากับคลินิกทันตแพทย์ชั้นนํา ส่งผลให้มีการเปลี่ยนแปลงรอยยิ้มที่น่าทึ่งอีกครั้งและเราตื่นเต้นที่จะแบ่งปันกรณีพิเศษนี้กับคุณ
ผู้ป่วยมี:ฟันที่เปลี่ยนสี และไม่เรียบร้อย ทําให้เกิดผลกระทบต่อทั้งความสวยงามและความมั่นใจ
หลังจาก:ยิ้มที่สว่างสว่างและสมองตรง และดูเป็นธรรมชาติ
โดยใช้ฟานเนอร์โพรเซลนคุณภาพสูงของเรา ออกแบบด้วยความแม่นยําและการสัมผัสศิลปะแลมเนตที่ยั่งยืนที่เลียนแบบสมบูรณ์แบบคุณสมบัติการสะท้อนแสงของเมลล์ธรรมชาติผลลัพธ์คือรอยยิ้มที่ไม่มีความผิดพลาด และยาวนาน ที่ดูและรู้สึกเป็นเรื่องจริง
กรณีนี้เป็นหลักฐานว่า การฟันเสริมสวยแบบทันสมัย สามารถทําได้อย่างไร ด้วยความเชี่ยวชาญและวัสดุที่เหมาะสมไม่ว่าคุณจะเป็นทันตแพทย์ที่ต้องการให้บริการ การเปลี่ยนรอยยิ้ม หรือผู้ป่วยที่ต้องการเพิ่มความมั่นใจห้องปฏิบัติการทันตแพทย์ของเรา เป็นคู่หูที่เชื่อถือได้ สําหรับความยอดเยี่ยมทางด้านความงาม
ไปร่วมกับคลินิกและผู้ป่วยที่พอใจมากมายทั่วโลก ที่ได้สัมผัสพลังที่เปลี่ยนชีวิตของเครื่องย้อมเสริมสวยงาม
 
            | ชื่อแบรนด์: | Joydenta | 
| ขั้นต่ำ: | ยืดหยุ่นได้ | 
| รายละเอียดการบรรจุ: | ห่อบับเบิ้ลพร้อมกล่อง | 
| เงื่อนไขการจ่ายเงิน: | ที/ที เพย์พาล | 
ที่ห้องปฏิบัติการทันตแพทย์ของเรา เราภูมิใจในการผลิต ผ้าผนังสวยงาม ที่เป็นพิเศษ ที่เข้ากันได้ดีกับฟันธรรมชาติความร่วมมือล่าสุดของเรากับคลินิกทันตแพทย์ชั้นนํา ส่งผลให้มีการเปลี่ยนแปลงรอยยิ้มที่น่าทึ่งอีกครั้งและเราตื่นเต้นที่จะแบ่งปันกรณีพิเศษนี้กับคุณ
ผู้ป่วยมี:ฟันที่เปลี่ยนสี และไม่เรียบร้อย ทําให้เกิดผลกระทบต่อทั้งความสวยงามและความมั่นใจ
หลังจาก:ยิ้มที่สว่างสว่างและสมองตรง และดูเป็นธรรมชาติ
โดยใช้ฟานเนอร์โพรเซลนคุณภาพสูงของเรา ออกแบบด้วยความแม่นยําและการสัมผัสศิลปะแลมเนตที่ยั่งยืนที่เลียนแบบสมบูรณ์แบบคุณสมบัติการสะท้อนแสงของเมลล์ธรรมชาติผลลัพธ์คือรอยยิ้มที่ไม่มีความผิดพลาด และยาวนาน ที่ดูและรู้สึกเป็นเรื่องจริง
กรณีนี้เป็นหลักฐานว่า การฟันเสริมสวยแบบทันสมัย สามารถทําได้อย่างไร ด้วยความเชี่ยวชาญและวัสดุที่เหมาะสมไม่ว่าคุณจะเป็นทันตแพทย์ที่ต้องการให้บริการ การเปลี่ยนรอยยิ้ม หรือผู้ป่วยที่ต้องการเพิ่มความมั่นใจห้องปฏิบัติการทันตแพทย์ของเรา เป็นคู่หูที่เชื่อถือได้ สําหรับความยอดเยี่ยมทางด้านความงาม
ไปร่วมกับคลินิกและผู้ป่วยที่พอใจมากมายทั่วโลก ที่ได้สัมผัสพลังที่เปลี่ยนชีวิตของเครื่องย้อมเสริมสวยงาม